手机扫描右侧二维码
随时随地自由阅读!
一夜好眠能让人神清气爽,但是如果晚上睡不好,第二天就会身心俱疲。本周在线发表在Science上的一篇论文指出,睡眠不佳,不仅只是让人感觉累,还会造成大脑中β-淀粉样蛋白和Tau蛋白增加,这两种蛋白增加与认知能力和记忆力下降紧密相关,同时与阿尔茨海默病等神经系统疾病有密切关系。
在神经系统疾病中,阿尔茨海默病属于很严重的一种,它悄无声息的出现,其缓慢发展的时间可以持续20年左右。在出现丧失记忆、思维混乱等症状之前,β-淀粉样蛋白就开始沉积在神经突触周围,形成淀粉样斑块。之后Tau蛋白形成纤维状缠结,关键脑区出现萎缩,认知衰退的迹象逐渐显现。虽然目前科学家仍然未明确阿尔茨海默病具体的形成机理,但是他们相信,淀粉样斑块和缠结会使神经元坏死。

目前,已经有多项研究将睡眠与阿尔茨海默病联系起来,在研究者看来,剥夺睡眠不仅会造成“痴呆”蛋白的积累,即使是睡眠质量不佳也会造成负面影响。美国华盛顿大学睡眠医学中心主任、神经学家Brendan Lucey甚至认为,在人们开始出现记忆和思维问题之前,可以将评估睡眠方式作为一种无创的方法,进行阿尔茨海默病的筛查。
一夜失眠,“痴呆”蛋白升高
华盛顿大学的研究人员发表在最新一期Science的文章指出:人只要一晚没睡,β-淀粉样蛋白和Tau蛋白都会同时增加,而长期的睡眠剥夺会使Tau蛋白加速转移到多个脑区。
在研究中,研究人员首先对小鼠进行了短期睡眠剥夺实验,他们让小鼠在其正常睡眠期间保持清醒,结果使小鼠脑部Tau蛋白积累增加了2倍。
接下来,他们希望在人体上再次确认,于是他们招募了8位30岁至60岁的健康成年人,比较了正常睡眠和一晚不睡条件下脑部β-淀粉样蛋白和Tau蛋白的情况。他们发现,与小鼠实验中类似,健康成年人一晚不睡觉,Tau蛋白也大幅上升,增加幅度超过50%,与此同时,β-淀粉样蛋白也增加了30%。

最后,研究人员又对小鼠进行了长期睡眠剥夺实验,他们希望了解,长时间不睡觉会对大脑中的Tau蛋白造成怎样的影响。结果显示,长时间缺乏睡眠会让小鼠脑中的Tau蛋白快速转移到多个脑区。
为什么缺乏睡眠会产生更多Tau蛋白?这一机制目前还不明确,一种可能是如果没有得到足够的休息,那么我们睡眠期间在脑中运行的“废料处理系统”无法正常工作,因此不能排出有害蛋白。但是研究人员同时发现,在睡眠剥夺时,只有Tau蛋白和β-淀粉样蛋白水平提高了,其它蛋白含量并未出现明显变化,研究人员认为,很可能是睡眠与这两种蛋白的释放之间有着千丝万缕的联系。阿尔茨海默病就像癌症一样,是一种复杂的疾病,可能有多种致病原因。但是研究人员认为,在预防阿尔茨海默病方面,可以重点关注晚上良好的睡眠情况。
睡眠质量不佳影响更大
晚上完全不睡觉会让“痴呆”蛋白水平上升,那只是睡眠质量不佳呢?就在2019年1月初, 美国华盛顿大学医学院的研究人员发表在Science Translational Medicine上的一篇文章显示,睡眠时间足够长,但是睡眠质量不佳,深度睡眠时间减少令脑中Tau蛋白升高。
实验召集了119名60岁以上的成年人展开研究。研究人员监测了一周参与者在家中的睡眠情况。每个人都有一个便携式的EEG监视器,它可以贴在额头上测量他们睡觉时的脑电波,同时他们还佩戴了一个跟踪身体运动的手表式传感器。同时,他们还记录了夜间睡眠与白天小睡的情况。研究人员利用PET脑部扫描、脑脊液分析,测量了这些参与者β淀粉样蛋白和Tau蛋白的水平。
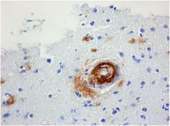
切片中β样淀粉蛋白。图片来源:meddic.jp
在控制了性别、年龄和睡眠时的运动等因素后,研究人员发现,深度睡眠减少与脑中Tau水平升高、脑脊液中Tau与β淀粉样蛋白升高有关。
研究人员认为,不是睡眠总量,而是反应睡眠质量的深度睡眠与Tau有关。“Tau蛋白病理性增加的人实际上晚上睡得更多,白天也睡得更多,但他们的睡眠质量并不高。” 论文第一作者Brendan Lucey说。
如果未来的研究能够验证他们的结果,那么睡眠检测可能是一种简单且经济的方法,可以早期筛查阿尔茨海默病。同时,研究人员也认为,单纯的白天小睡也与高水平Tau蛋白显著相关,这意味着也许医生只要问一下:你白天睡的多吗?就可以帮助医生识别需要进一步找出潜在患者。
“我并不希望睡眠监测会取代脑部扫描或者脑脊液分析,用以识别阿尔茨海默病的早期症状,但是它可以是一种补充。” Brendan Lucey说,“随着时间的推移,人们的睡眠习惯可能开始改变,这或许是人们脑中发生着变化的一个标志。”

此前,也有研究人员发现,阿尔茨海默病与睡眠相关的早期预警信号是:睡眠模式被打乱,这意味着人们没有遵循白天清醒,晚上睡觉的周期,他们白天睡得多,晚上睡得少,或者他们在一天24小时中更加零碎的积累睡眠。这表明,即使在没有睡眠剥夺的情况下,昼夜节律中断也可能是阿尔茨海默病的早期标志。
美国神经学家David Holtzman团队在剥夺了健康成年人的深度非快速眼动睡眠,但保持睡眠总时长不变的情况下,发现受试者脑脊液中与阿尔茨海默病相关的淀粉样蛋白显著增多。这一实验说明了缺乏深度睡眠会导致β-淀粉样蛋白含量的迅速升高。
恶性循环
为什么睡眠会影响脑中“痴呆蛋白”的水平?科学家们一直未找到确定的成因与机制。但罗切斯特大学医学中心的科学家们在多年前,发现的一个新系统或许可以解释部分原因。他们发现的这一新系统被称为“glymphatic系统”,它有点像身体的淋巴系统,可以清除废物。这一发现被认为是近几十年来睡眠研究中最惊人的发现之一。
研究人员发现,虽然这一类淋巴系统在白天也很活跃,但当人们在睡觉并处于深度非快速眼动睡眠期时,这一系统的运作最为活跃,此期间大脑排出的废物是白天的10到20倍。
如果你睡得不好或经常没有充足的睡眠,就可能会错过这个清除过程。研究人员进一步研究发现,夜间被类淋巴系统清除掉的垃圾里包括淀粉样蛋白,这正是导致阿尔茨海默病的元凶。
这些发现证明了睡眠不足与阿尔茨海默病的病理机制互为因果,进而形成恶性循环。没有充足的睡眠,“痴呆蛋白”就在大脑中堆积。紧接着,深度非快速动眼睡眠的缺失进一步阻碍大脑在夜间清除淀粉样蛋白,导致更多堆积。淀粉样蛋白越多,深度睡眠越少,反之亦然,循环往复。
不过令人略感安慰的是,如果能够改善睡眠,或许也能够降低阿尔茨海默病的患病风险,或至少可能延缓发病。此前曾有科研人员对患有睡眠障碍性疾病、但并没有发展成阿尔茨海默病的中老年患者进行研究。当他们的睡眠障碍被成功治愈之后,他们认知能力的衰减速度降低了,阿尔茨海默病的病发也延迟了至少10年。